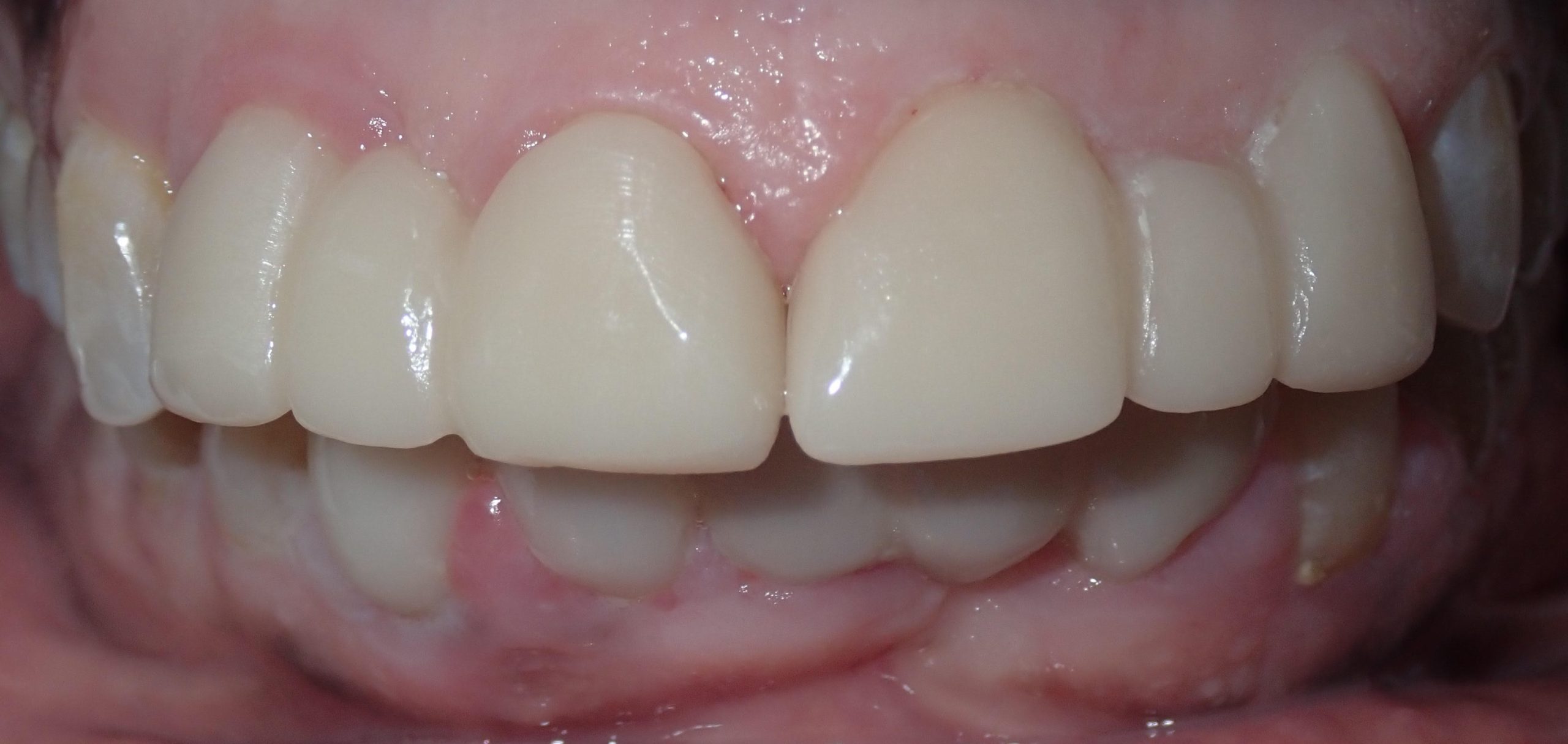
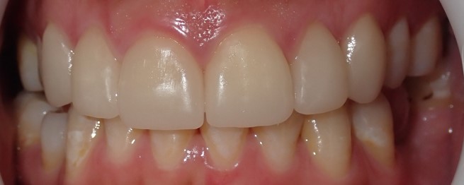
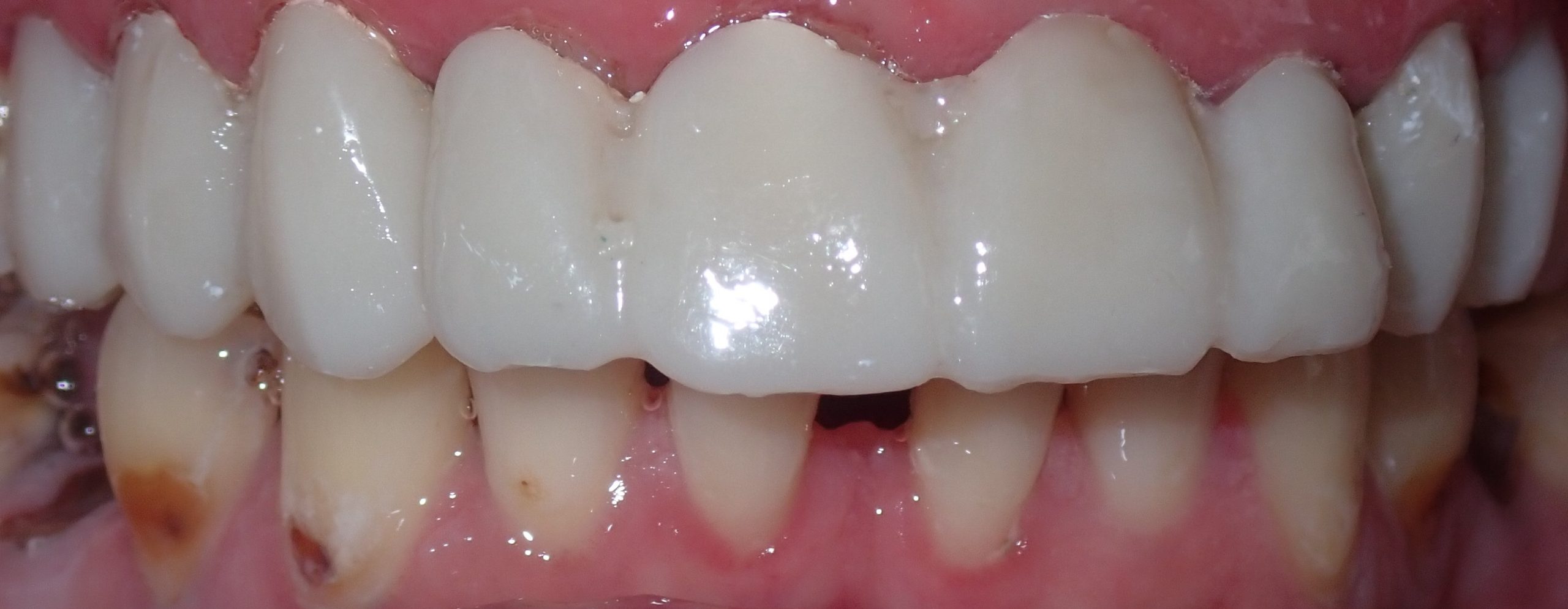
Check out our gallery to see the amazing results Dr. Patricia Breen and Dr. Elyse Patrella have achieved! To learn more about our dental services, or to schedule your personal consultation with our dentists in Deer Park, New York, please contact Hills Park Dental at 631-254-6596! Your journey to a beautiful smile starts here!





